去拍胸部CT时,有不少人会发现里面描述肺组织时有“磨玻璃影(GGO)或磨玻璃结节(GGN)”的字眼。一听到“肺结节”,很多人都感到头皮发麻,很多人都有这样的疑问:这是不是肺癌的一种类型?那么,肺磨玻璃样结节到底是什么?是良性病变还是恶性?发现肺磨玻璃结节该怎么办?
肺磨玻璃影(GGO)与磨玻璃结节(GGN)
磨玻璃影(GGO)是一个非特异性医学词语,美国专业词汇命名委员会于1996年将其定义为肺实质内的局灶性密度增高影,其密度不足以掩盖其内的支气管及血管等结构,可见于气腔疾病、间质增厚、部分肺泡萎缩(肺不张)、毛细血管容量增加或以上的组合。
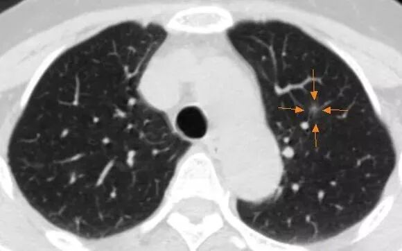
磨玻璃结节(GGN)定义为CT肺窗上呈现磨玻璃影表现的结节,其内支气管、血管等结构清晰可见,持续存在的肺磨玻璃结节为癌前病变或早期肺腺癌的可能性较大。

国内外多项研究表明,肺磨玻璃结节与早期肺癌具有明显相关性。殊不知,早期肺癌可以达到临床治愈,而晚期肺癌患者5年生存率却不足5%,如此可见,早期发现肺磨玻璃结节并经过规范诊治,可以有效预防肺癌的发生发展。
一般来说,肺磨玻璃结节在没有充分证据诊断为恶性结节时,定期复查是常见的治疗方案,通常建议随访5年。但结节稳定5年后是否需要进一步随访或治疗,目前尚不明确。
善恶有别,如何辨别良、恶性结节
肺结节即影像学检查表现为直径≤3cm的局灶性、类圆形、密度增高的实性或亚实性肺部阴影,可为单个或多个,不伴肺不张、肺门淋巴结肿大和胸腔积液。根据大小可分为微小结节(直径<5mm)和小结节(5~10mm);根据成分可分为实性肺结节和亚实性肺结节,亚实性肺结节又可分为部分实性结节和纯磨玻璃样结节。以下主要通过CT表现区分良恶性结节。

良性结节:
1、来去匆匆
表现为长得快,消失得也快。所谓“长势喜人”,良性结节15天内可增大1倍以上,消失或减小时在影像学检查上一般不伴有密度增加,可表现为密度均匀或变淡。
2、短期内形状多变
短期内病灶外部特征(俗称“外貌”)变化明显,无分叶或出现极深度分叶,边缘变光整或模糊。

恶性结节:
1、来了就不肯走
恶性结节一般为肿瘤,作为侵略者,虽然来得慢,但一旦侵袭人体,便死皮赖脸地赖着不走了,其直径增大、倍增时间符合肿瘤生长规律。
2、本质发生改变
如果把结节比喻成一个人,那么良性结节相当于一个爱打扮、爱美之人,外貌多变;而恶性结节则是本质上发生了改变。可表现为病灶稳定或增大,并出现实性成分;即使病灶缩小,但出现实性成分或实性成分增加;或出现分叶、毛刺和/或胸膜凹陷征。
哪些结节需要手术治疗
以上考虑恶性病变的情况一般需要手术切除,而另外一部分结节即使为良性,但有恶性趋势的也可手术切除。磨玻璃样结节增大(一般≥8mm即有手术意义)、与周围血管联通、出现新的实性成分,或已存在实性成分增多时,建议手术治疗。

可能恶变的结节
2019年5月发表于Journal of Thoracic Oncology的一篇文章指出,直径小于6mm且稳定5年以上的肺磨玻璃结节也不能掉以轻心,仍然有恶变的可能。
这项研究包括160例观察了5年且处于稳定状态的肺磨玻璃结节患者,所有病灶均是在常规体检过程中发现的。95%的病灶初始直径小于 6mm,在8.5年的时间内平均增长了约3.2mm, 27个(13%)病灶在观察过程中出现了生长现象,其中3例进行了活检,均提示为腺癌, 8例患者出现新发实性成分。
因此,即使病灶小于8mm,仍可能需要手术治疗,尤其是出现新发实性成分,更应该提高警惕,及时到医院就诊,预防结节癌变。

除了常见的CT、PET-CT等影像学方面的改变,临床上还可以通过一些免疫指标反映的肺磨玻璃结节的肿瘤活性,从而评价其良恶性及发展趋势。