简介:中医有"望而知之谓之神"之说,舌诊则是中医望诊中最为直观有效、易为大众掌握的一种辨证方法。家庭实用中医舌诊的关键是把握舌象的动态变化,以此来指导日常的养生保健。
舌诊脏腑部位分属图

据《内经》记载,舌的不同部位能反映不同脏腑的病理变化,在临床上有一定参考意义。舌尖候上焦心肺的病变;舌中部候中焦脾胃;舌根候下焦肾;舌两侧候肝胆。
《伤寒指掌 · 察舌辩证法》还有“舌尖属上脘,舌中属中脘,舌根属下脘”的说法。
舌色篇
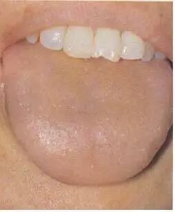
1、正常舌

正常舌象的特征是:舌色淡红鲜明,舌质滋润,舌体大小适中,柔软灵活;舌苔均匀、薄白而润,简称“淡红舌,薄白苔”。

正常舌下络脉仅隐隐可见,呈紫红色线状,绝不粗胀。大多为单枝干,络脉直径最粗不超过2.7mm,长度大多不超过舌尖与舌下肉阜连线的3/5。
2、淡白舌

淡白舌多见于阳虚寒盛、气虚血少之证。本图舌色淡白,舌苔薄白而润,提示气血两虚。
3、枯白舌

舌色及龈、唇皆无血色,称为“枯白”。本图舌色枯白,舌干皱缩,无力伸出,是舌无神气的表现。提示精气衰败,病情危重。
4、红舌

红舌见于外感热盛或阴虚火旺之证。本图舌色较红,舌苔薄黄,舌质纹理粗糙,提示气分热盛。
5、舌尖红

舌尖红多见于心火上炎,上焦有热之证。本图舌尖红赤起刺,其余部位淡红而润。提示上焦热盛。
6、红绛舌(1)

舌色深红,称为“绛舌”,为热盛之象。在外感病为邪热入营的标志;在内伤杂病阴虚火旺重症亦较多见。本图舌色深红偏暗,舌面有叶脉状浅裂纹,苔少。提示热盛、气血壅滞,正气已伤。
7、红绛舌(2)

本图摄自慢性胃火患者,舌色红绛,舌干无苔,舌面上有浅裂纹。提示内热炽盛,胃阴枯涸,胃气大伤。
8、红绛舌(3)

舌色红绛,舌面苔少,舌前部有较多红点(即菌状乳状充血),提示邪热炽盛,气阴两伤。
9、青紫舌

舌色青紫,由气血运行不畅所致。本图患者为慢性支气管炎继发感染、肺气肿、心力衰竭,舌色紫暗,苔白腻。提示痰饮内停、肺肾气虚,血行瘀滞。
10、淡紫舌

淡紫舌多见于阳虚阴盛之证。本图患者为肺原性心脏病,舌淡紫,苔薄白而湿润。提示阳气不足,血行不畅。
11、淡紫淤堵舌

本图患者月经不调(痛经),舌色淡紫,舌上有较多紫色瘀点,舌苔薄白而润。提示阳气不足,寒凝血瘀。
12、紫红舌

本图患素体阴虚,舌红少苔,因肺部感染、心力衰竭,舌色紫而偏红,伴有发热、喘咳。提示邪热内盛,气血壅滞不畅。
13、绛紫舌

舌色红绛而紫,舌尖起刺,提示痰热壅滞。
14、瘀斑舌

舌有瘀斑或瘀点,均为血瘀之征。本图见舌边和舌旁有形态不规则瘀斑,是肝经血瘀的征象。
舌苔篇
正常舌苔是由胃气、胃阴上蒸于舌面而生成,病理性舌苔则是胃气挟邪气上蒸而成。《图谱》以苔色为纲,结合苔质变化,介绍各类常见的舌苔变化。
1、薄白润苔

本图为正常舌苔。苔质滋润,干湿舌中,透过舌苔能见到淡红舌质,称为“薄白润苔”。提示胃气旺盛,津液充盈。
2、薄白滑苔

舌苔上水湿过多,扪之湿而滑利,甚则伸舌涎液欲滴,称为“滑苔”,多为水湿、痰饮内停。本图舌面过于湿润,舌苔薄白,根略厚,舌体胖嫩,舌边齿痕。提示阳虚不运,水湿内停。
3、白腻苔

腻苔的特征是:苔质颗粒细腻致密,紧贴于舌面,刮之不脱,多因湿浊、痰饮、食滞所致。
4、白滑腻

本图患者为慢性支气管炎,舌苔白腻,舌上水湿过多,舌色淡紫,舌尖部有瘀点。提示阳气不足,痰饮停积。
5、白粘腻苔

腻苔上复盖一层垢浊滑腻的粘涎,称为“粘腻苔”。提示湿浊之邪较盛,脾胃阳气被遏。
6、白厚腻苔

本图患者为肝硬化腹水,舌色淡紫,舌苔白腻,中部较厚,提示体内阳虚阴盛,水湿停聚,血行凝滞不畅。
7、白厚松苔

舌苔由腻逐渐变松,颗粒变粗,浮堆于舌面,刮之能去,提示阳气来复,渐化寒湿阴邪。
8、白腻苔化燥

本图患者为慢性支气管炎,原为白厚腻苔,现舌上大部分白腻苔化燥,苔质干裂,舌中有一块苔剥落,边缘白苔尚未化燥。提示痰饮郁而化热,胃气、津液渐伤。
9、黄腻苔化燥

本图为黄腻苔满布舌面,舌苔的中前部腻苔正逐渐化燥,提示内热炽盛,湿邪化燥。
10、薄黄苔

本图患者为呼吸道感染发热。舌质稍红,舌苔薄黄,提示表邪入里,气分热盛。
11、黄腻苔(1)

黄腻苔多见于湿热、痰热、食滞化热、暑温、湿温、腑气不利等。本图患者为流行性感冒后,舌苔淡黄厚腻,胸闷纳呆,提示湿热中阻,脾失健运。
12、黄腻苔(2)

本图患者胆道感染,舌苔黄腻,提示肝胆有湿热蕴结。
13、黄腻苔(3)

本图患者为肝癌,舌质红,舌苔黄厚腻,舌尖红点,提示湿邪与郁热交阻。
14、黄粘腻苔

本图患者为肠梗阻,舌苔黄腻,舌面上还罩着一层黄色粘涎。是因腑气不通,湿浊之邪上泛于舌所致。
15、黄滑苔

黄苔亦可见于寒湿证,其特征是苔黄而湿润多津,舌质胖嫩,舌色多淡白,或兼见舌边齿痕。提示阳虚,痰饮或寒湿内停。
16、黄燥苔(1)

本图患者为肺部感染,舌苔由白转黄(舌边尚有白腻苔残余),苔质干裂,舌红不鲜。提示疾病由寒湿化热、化燥,津液已伤。
17、黄燥苔(2)

舌面十分干燥,舌苔黄厚干裂,颗粒粗糙,舌前部有裂纹。提示邪热炽盛,津液耗伤。
18、黄瓣苔

舌苔燥裂成瓣,色焦黄,舌质红,有浅裂纹,是热盛伤津之征。本图舌上尚有白腻苔,表明原来的病邪为痰饮、湿浊等阴邪。
19、灰白腻苔

舌苔由白腻转为灰苔,多见于阳虚寒湿、痰饮等阴邪蕴结中焦,日久不化的病证。
20、灰黄腻苔

本图患者为肺心病,舌苔灰黄腻,舌色紫暗。提示湿浊痰饮化热,气血运行不畅。
21、垢腻灰苔

舌苔腻而胶结垢浊,苔色灰黄,舌面上似有一层骯脏物质,称为“垢腻苔”。提示湿浊之邪较盛。
22、黑腻苔

本图患者为大叶肺炎,舌苔由白腻转为黑腻,苔质不干,舌质红绛,舌尖有点刺。提示湿浊之邪入里化火,内热炽盛,呈寒包火之势。
23、焦黑苔

本图患者为胆道感染,舌红而干,舌中根部苔黑而燥裂,舌两边尚有少许白腻苔。提示邪热亢盛,湿浊化燥伤津。
24、黑燥苔

本图摄于一胃癌患者临终前二天,舌苔黑而燥裂,根部黑苔长如黑毛,舌体卷缩,舌质枯白无华。提示阴液耗竭,内热极盛。
25、剥苔

舌苔剥落处,舌面光滑无苔,称为“剥苔”。提示胃阴、胃气已虚,或气血不足,不通续生新苔。
26、腻苔中剥(1)

本图患者为肺原性心脏病、心力衰竭,原为白腻苔,现舌中与舌前已部分剥落,舌两旁仍有黄白腻苔,舌色青紫,提示痰热交阻,气血不畅,胃气已虚。
27、腻苔中剥(2)

舌苔白厚腻,又见剥苔,提示痰湿未化,胃气已伤,病属虚实夹杂。
28、类剥苔

本图患者为胃溃疡,舌苔多处剥落,剥落处舌面仍有新生乳头,称为“类剥苔”。提示气阴不足,舌苔复生较慢。
29、地图舌

地图舌是剥苔的一种,因剥落呈地图样,形态不规则,边缘稍凸起,部位时时转移而得名,亦是胃气、胃阴不足所致。多见于体质过敏者。本图是经过治疗后,剥苔处又长出新苔。
30、镜面苔

舌粘腻乳头萎缩,舌苔全部退去,舌面光滑如镜,称为“镜面舌”提示胃气、胃阴枯涸。多见于热病伤阴后期,内伤阴虚、气血两虚等证。本为红绛镜面舌,由热盛阴液枯涸所致。
31、无根苔(1)

舌苔浮于舌面,刮之即去,其下不能续生新苔,是由胃气、胃阴大伤,舌苔失养所致。本图患者为肝癌晚期,舌质红绛,舌面起刺,舌苔黄浊,不刮自脱。提示内热炽盛,胃阴大伤。
32、无根苔(2)

本图是经揩舌后的舌象。舌中已有大部分颗粒状黄苔被揩去,舌面上无新苔复生,提示胃气、胃阴已伤,病情较重。
33、薄白苔和黄厚腻苔

(薄白苔)

(黄厚腻苔)
舌象的动态变化,对于判断疾病的进退和转归具有重要意义。两图是同一患者在不同时间的舌象。疾病初起时舌苔薄白,数日后,邪渐入里化热,舌苔亦变为黄厚腻。
34、黄厚粘腻苔与

(黄厚腻苔)

(薄白苔)
黄厚粘腻苔为药物过敏,初起舌苔黄厚粘腻,经化湿治疗后黄腻苔已大部分退去(见薄白苔),提示湿浊已化。
舌部病变
1、舌糜(1)

(舌面)

(舌下)
本图患者为肺部感染、心力衰竭,舌光红偏紫,继则舌面和舌下出现白色糜点,有的融合成片,並蔓延到口腔其它部位,揩之即去,旋即复生。
亦有称“糜苔”、“霉腐苔”,提示气阴两伤,秽浊之邪泛滥。多见于久病正虚、胃气衰败的重病患者。长期使用抗菌素、激素等药物,亦可发生。
2、舌糜(2)

本图患者为肺原性心脏病、心力衰竭伴肺部感染,因久病正伤,舌前半苔已剥落,舌面上出现白色凝乳样物。预后较差。
3、舌疮

舌上生出一个或多个表浅的黄白色溃疡,周围充血,有疼痛感,称为“舌疮”。本病时发时愈,多由阴虚火旺、心火、胃热亢盛、气虚、阳虚等原因所致。劳累后每易诱发。
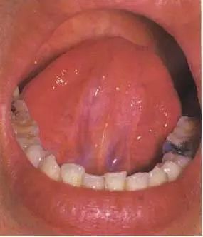
4、重舌

舌下血络肿起,好像又生一个小舌,与舌体重叠,称为重舌。多因心火上炎或外邪引动心火所致。
5、舌菌(舌癌)

舌边生出菌状恶肉,表面溃烂伴疼痛感,流出涎液极臭。是由心脾郁火、气结所致,属于舌部恶性病变。
6、舌菌(舌乳头状瘤)

舌上生出一个黄豆大赘生物,无疼痛感,长期不溃烂,生长极慢,预后较好。
7、舌血管瘤

本图为先天性舌血管瘤。舌上有一肿块,色微紫,无不知感。是由舌部血络郁闭所致,无辨证意义,应与青紫肿胀舌作鉴别。
8、舌烂(舌癌)

本症好发于舌边缘中后部,初起舌边有一小溃疡,日渐增大,疼痛妨碍饮食,如溃烂及血脉,可引起大出血。
9、舌衄

舌上出血称为“舌衄”。可由心经蕴热、脾肾虚火上炎等原因引起。一般由实火所致者舌出血量多,常伴有舌体肿痛;由虚火所致者,则多见舌上渗血,而舌体不肿。亦可由气不摄血所致
九种体质舌象
1.正常舌
健康的舌头为“淡红舌,薄白苔”。有神而灵活。吐舌时,舌头大小与嘴角略有间隔;即使张口数分钟,舌头也不易干燥。舌下静脉呈现淡紫色,表示血液循环顺畅,身体状况佳。

气血虚弱;整体舌少淡白,无血色;舌苔薄;舌下脉络不明显。


舌质鲜红或为红绛舌;少苔、无苔或光剥;少津或有裂纹。

注:舌有裂纹也不一定都是阴虚所致。

舌体胖大,淡白,或有齿痕。

舌边、舌尖有黑色瘀点或瘀斑,整个舌质发暗、发紫或为青紫舌;舌下静脉曲张。

注:肝主疏泄而藏血,具有条达气机,调节情志的功能。情志不舒或外邪侵袭引起肝气久郁不解,故情绪抑郁或急躁,胸胁胀闷,走窜疼痛;气为血帅,肝郁久不解,必致瘀血内停,气滞血瘀。

6.气虚血瘀舌
淡白舌或舌质暗,舌苔薄白;边尖可见瘀斑、瘀点;或舌下静脉怒张。

苔厚腻、滑腻,或感觉有痰堵塞在喉咙中,常伴有胖大舌、齿痕舌。

注:痰湿体质发生多由各种外因或内因导致脏腑气化功能失调,气血津液运化失调,水湿停聚,聚湿成痰,痰湿内蕴,留滞脏腑,反过来影响脏腑功能。
舌胖大,边有齿痕,舌苔满布,苔白腻,或舌根有微黄色痰涎。

注:齿痕舌多因舌体胖大而受齿缘压迫所致,故齿痕舌常与胖大舌同见,多属脾虚,主虚证。若舌质湿润,舌苔发白,所为脾虚而寒湿壅盛。若伴有黄腻苔,多属湿热痰浊壅滞。
中医有句话叫“治未病”,不要等有病再看医生,要没病的时候就注意自我诊断和保养,专家建议我们要学会每日两看。第一看就是每天早晨起来看自己的舌苔是不是正常,正常舌苔:舌色淡红明润、舌苔薄白均匀、苔质干湿适中,其实就是淡红舌、薄白苔。第二看是看大便,正常的大便是香蕉便,干燥和腹泻都说明整个消化系统有失衡的表现。
— — 以上知识仅限传播中医知识,不做治疗用。如果你属于某种体质,必然会有相应的症状,但不代表你有此症状就一定归类于该种体质,还要综合其他特征来看。